Tag: new science
Zebrafish can be key in improving opioid addiction treatment
Zebrafish addicted to opioids may be key in improving human opioid addiction treatment, a new research reveals.
The research, published in the journal Behavioral Brain...
Using the genetics of addiction to improve treatment
Substance use disorders result from genetic and environmental factors combined, which led researchers to look at changes in gene expressions to predict susceptibility to...
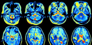
Functional MRI used to investigate new drugs for drug relapse prevention
Researchers in the UK are studying the effects of experimental medicines using functional MRI (fMRI) technology to investigate the neuropharmacology of brain processes including...
New immunotherapy can change cocaine addiction treatment
Researchers from the University of Cincinnati (UC) College of Medicine have developed an antibody to prevent the effects of cocaine from reaching the brain,...












